定期メインテナンス+予防プログラム
忙しい日常に“美と健康の習慣”を。プライベート空間での歯のメインテナンスは、あなたの「未来の笑顔」への投資。
✔ 丁寧なカウンセリングとリスク検査(唾液検査、食習慣)
✔ 歯に優しい器具で痛みのないクリーニング
✔ ホームケアへのアドバイス付き
通院は原則として3ヶ月に一回をお勧めします。「習慣」の小さな積み重ねが、未来に大きな花を咲かせます。

こんな人におすすめ
-
生涯白い歯とピンク色の歯茎を保ちたい方
-
お口のトラブルを未然に防ぎたい方
-
歯を一生大切にしたい方
-
マナーとして口臭や着色の予防をしたい方
-
定期的にプロのチェックを受けたい方
2. 歯周病治療

日本人の歯を失う原因の第1位は歯周病(37%)となっており、歯周病罹患率は15-24歳が20% 、25-34歳で30% 、35-44歳で40%、 45-54歳は50%、そして55歳以上は55-60%という割合になっています。(日本歯周病学会HPより)
歯周病の進行は、以下の5段階に分かれます。
1:歯肉に炎症が見られない(健全な状態)
2:歯周ポケットの深さを測った際に出血がある(歯肉炎)
3:歯肉縁下4mm以内に歯石がある(軽度歯周病)
4:歯周ポケットの深さが4~6mmに達している(中等度歯周病)
5:歯周ポケットの深さが6mm以上ある(重度歯周病)
このうち、健全な状態の1を除くと、実に成人の8割が何らかのはぐきの問題を抱えていると言われています。
1の健全な状態を保つための定期メインテナンス、または少なくとも2から3段階(歯茎からの出血、4ミリ以内の歯周ポケット)のうちに、歯周病治療を始めて進行を防ぐことが大切です。
当院では、歯肉炎、歯周病と診断された方には、以下の治療を提供しています。
治療の流れ
(初診時の精密検査が終了していることが前提です)
Comprehensive assessment (初診時精密検査)
Treatment Planning (治療計画作成)
Oral Hygiene Education and Instruction(口腔衛生指導)
Non-surgical Treatment(歯周ポケット内のディープクリーニング)
Reassessment(再評価のための検査)
Surgical Treatment
(歯周外科手術:専門医へ紹介いたします)
Maintenance(メインテナンス)
Maintenance and Reassessment
(メインテナンスおよび再評価)
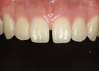
3. ダイレクトボンディング
“整えていることに気づかれない”自然な仕上がり
虫歯になっている部分はもちろんのこと、小さな欠け・すき間・色ムラをその場で自然に修復。
人間の体の中で最も美しいと言われるエナメル質(歯の最表層の艶やかに輝く部分)は、美しいだけでなく、生涯にわたって歯を守る水晶と同じ硬さをもつ部分。大切なエナメルをなるべく残し、必要最低限の切削で、丁寧にレイヤーを重ねる高精度な審美治療で、継ぎ目もわからない修復が可能に。

こんな人 におすすめ
-
欠けた歯をきれいに治したい
-
虫歯を最低限の切削で治したい
-
すきっ歯が気になる
-
金属の詰め物を自然に戻したい
4. ホワイトニング

自然な白さが、表情全体を明るくする
白すぎない、肌や年齢になじむ上品な輝きへ。ホームケア+オフィスホワイトニングを組 み合わせて、透明感ある印象を育てます。定期メインテナンスと一緒に受けることも可能です。
こんな人におすすめ
-
歯の黄ばみが気になる方
-
年齢とともに歯の色が暗くなってきた方
-
人前での印象を上げたい方
-
清潔感を大切にしたい方
-
イベントや写真撮影前に整えたい方
治療の流れ
-
カウンセリング/歯の色チェック
-
表面クリーニング
-
ホワイトニング薬剤の塗布
-
光照射(オフィスの場合)
-
仕上がりの確認とホームケアのご案内
*必要に応じてホーム用ジェルを処方

ホワイトニング写真 前後

ホームホワイトニング
5. 小児歯科
「小さな歯」から、“一生ものの健康”を育てる
歯が生えて半年たったら。お子様の予防歯科を始めましょう。
お子さまの歯は、未来の健康を映す鏡です。
Bloom Dental Studio London では、むし歯を「治す」よりも「防ぐ」ことを大切にしています。
はじめての歯医者さんでも安心できるよう、やさしく、楽しく、痛くない診療を行います。

当院の小児歯科の特徴 むし歯ゼロを目指す「やさしい予防ケア」
-
痛みの少ないクリーニングとフッ素塗布
-
歯磨きや食習慣のアドバイス
-
お子さまのペースに合わせた診療(恐怖心を与えないステップケア)
“通うたびに少しずつ慣れていく”安心感を大切にしています。
「歯医者さんって楽しい!」と感じてもらえる経験を通して、
一生続く「予防の習慣」を育てます。
成長に合わせたケア内容
保護者の方へ
お子さまの“笑顔の基礎”を作るのは、今の時期です。
小児期のケアが、その後の歯並びや発達にも大きく影響します。
日本語で丁寧にご説明し、保護者の方も安心できる診療を心がけています。
6. 小児予防矯正歯科(提供準備中)

「歯並びを整える」から「正しい成長を育てる」矯正へ
歯並びの乱れは、遺伝だけでなく生活習慣やお口周りの筋肉の癖から生じることが多くあります。
Bloom Dental Studio London では、「予防歯科を通して、未来をはぐくむ」という理念のもと、成長期に合わせた筋機能矯正を行っています。
目的は、単に歯を動かすことではなく、舌・呼吸・姿勢・嚥下(飲み込み)などの機能を正しく育てること。
当院で行う予防矯正の種類と特徴
マイオブレース治療(MRC矯正)/5歳〜9歳くらいまで
-
筋肉の使い方を改善し、正しい鼻呼吸を促す
-
顎の発育を助け、歯が並ぶスペースをつくる
-
トレーニングを通して、姿勢・発音・口の使い方も改善
-
自然な成長を引き出す「機能育成型」の矯正
インビザライン・ファースト(Invisalign First)/ 6歳〜10歳くらいまで
-
永久歯が生え始める時期(6〜10歳前後)から使用可能
-
透明で目立たず、装着感がやさしい
-
デジタル3Dスキャンを用いた精密な歯列コントロール
-
MRCなどで土台を整えたあと、より細かな歯の移動に対応
比較表:MRC と Invisalign First の違い
こんな人におすすめ
-
口がいつも開いている(口呼吸)
-
食べるのが遅い、飲み込みがぎこちない
-
前歯が閉じない/出っ歯が気になる
-
顎が小さい、歯が重なって生えてきた
-
発音が不明瞭、姿勢が悪い
治療の流れ
▶ 初回:精密検査・カウンセリング
-
問診・生活習慣チェック(呼吸・姿勢・睡眠など)
-
顎の成長状態・舌の動きの評価
-
顔貌・口腔内写真・3Dスキャン
-
必要に応じてレントゲン撮影
-
検査結果をもとに、最適な矯正法(MRCまたはInvisalign First)をご提案
▶ 2回目以降:治療開始
-
マウスピースの使用・清掃方法指導
-
呼吸・舌・口唇の筋機能トレーニング(MFT)
※月に一回 約12ヶ月前後の治療になります。
-
定期メインテナンスに移行し、フォローアップ

ビフォー

ビフォー

アフター

アフター
保護者の方へ
「小児矯正=歯並びを直す」ではなく、「お子さまの成長を育てる」という考え方でサポートしています。
正しい機能が育つことで、将来的に歯を抜かない・痛みの少ない矯正につながります。
まずはお気軽に、カウンセリングでご相談ください。
7. アライナー矯正治療(提供準備中)
「少しだけ整える」ことで、印象は大きく変わる。
年齢を重ねた方の多くは、すり減りや着色、形の変化など、“並べるだけ”では解決しないお悩みを抱えています。当院では、矯正治療も「ミニマル」を目指します。
無理のない範囲で安全に動かすことはもちろん
ホワイトニングやボンディングでの色・形の補正を加えることで時間と費用、歯への負担を極力減らします。大人のための現実的な口元リメイクプランです。

こんな人におすすめ
-
前歯の軽度のねじれ・すき間が気になる方
-
過去に矯正したが後戻りしてきた方
-
“整って見える”自然な仕上がりを目指したい方
-
短期間・低負担で印象を変えたい方

ビフォー

ビフォー

アフター

アフター
ご注意
当院のすべての診療は、応急処置が必要な場合を除き、原則として精密検査とクリーニングが終了している方にのみ対応させていただいております。初めての方は、精密検査のご予約をお取りいただけますようお願い申し上げます。
他院での治療が必要な場合の対応について
当院では、予防・審美・ミニマルな治療を中心とした診療を行っております。
そのため、外科処置や専門的な治療が必要と判断された場合には、ロンドン市内の信頼できる歯科医院や専門医をご紹介いたします。治療の必要性や緊急性、症状の性質に応じて、できる限りスムーズな連携をサポートいたしますので、安心してご相談ください。
日本人の方へ
当院の歯科医師は、日本で30年以上の臨床経験を持ち、渡英直前まで日本で診療を続け、渡英後はオンラインでのインビザライン矯正治療計画を担当する他、帰国時の診療も予定しています。そのため、日本の保険診療、自費診療の背景や治療内容、使用材料、治療済み部位の状態についても深く理解しています。
ロンドンでの診療中に、保険治療の経過観察や、日本の歯科医院との情報共有が必要になった場合も、スムースに行うことが可能です。
また、必要に応じて、日本国内の歯科医院への紹介状作成や、治療引き継ぎのサポートも行っております。お気軽にご相談くださいませ。



